Siêu âm Doppler tim

Echocardiography

siêu âm doppler tim ở phòng khám bác sĩ Phạm Xuân Hậu

DỊCH VỤ SIÊU ÂM DOPPLER TIM MÀU

Siêu âm doppler tim màu có kết quả tin cậy thế nào phụ thuộc rất nhiều vào kinh nghiệm của người bác sĩ thực hiện và mức hiện tại của máy siêu âm. Tại phòng khám tim mạch OCA, bệnh nhân được trực tiếp BS Phạm Xuân Hậu thăm khám và siêu âm tim doppler màu.

Siêu âm tim là một phương pháp kỹ thuật y học tiên tiến giúp phát hiện ra các bệnh lý liên quan đến tim, từ đó có thể lên phác đồ điều trị hiệu quả.

1. Siêu âm tim là gì?

Siêu âm tim là kỹ thuật sử dụng sóng siêu âm để tạo ra hình ảnh của tim. Đây là một kỹ thuật không xâm lấn không sử dụng bức xạ và thường không gây ra tác dụng phụ. Qua việc siêu âm tim, bác sĩ tim mạch có thể khảo sát và đánh giá các chi tiết như:

  • Kích thước và độ dày vách của buồng tim.
  • Hoạt động của van tim.
  • Hướng máu chảy qua tim.
  • Vùng mô cơ tim bị tổn thương hoặc suy yếu.
  • Tràn dịch màng tim .

Ngoài ra, siêu âm tim cũng có thể được sử dụng như một công cụ để kiểm tra sức khỏe tim định kỳ hoặc tái đánh giá với bệnh nhân sau cơn đau tim hoặc đột quỵ.

Bên cạnh đó, siêu âm tim cũng giúp các bác sĩ đánh giá được:

  • Đánh giá hoạt động bơm máu của tim.
  • Đánh giá thay đổi dòng điện trong tim (ECG).
  • Chẩn đoán bệnh tim như xơ cơ tim, hở van tim, hẹp van tim hay giãn các buồng tim.
  • Xác định vị trí huyết khối hoặc khối u trong tim.
  • Đánh giá áp lực trong tim để chẩn đoán tình trạng tăng áp động mạch phổi.
  • Xác định bất thường tim bẩm sinh ở trẻ sơ sinh và trẻ nhỏ.
  • Theo dõi mức độ đáp ứng của tim đối với các phương pháp điều trị tim khác nhau như thuốc điều trị suy tim , van nhân tạo và máy tạo nhịp.
  • Ở các máy siêu âm tim thế hệ mới, Bác sĩ tim mạch sẽ thăm khám bằng kỹ thuật doppler mô cơ tim để phát hiện sớm những biến đổi thiếu máu cơ tim im lặng cho bệnh nhân, nhất là bệnh nhân có sử dụng thuốc độc với cơ tim như hoá chất trị ung thư. BS Phạm Xuân Hậu có nhiều kinh nghiệm trong bệnh tim mạch ở các bệnh nhân ung thư sẽ giúp bạn phòng ngừa sớm các biến chứng đó.

2. Các phương pháp thường được sử dụng trong siêu âm tim

Có rất nhiều các phương pháp siêu âm tim hiện nay, nhưng dưới đây là các phương pháp phổ biến và hiệu quả nhất:

Siêu âm tim qua thành ngực

Siêu âm tim qua thành ngực là kỹ thuật siêu âm tim phổ biến nhất. Đầu dò siêu âm được đặt ở bên ngoài ngực gần tim. Việc bôi gel lên ngực giúp sóng âm truyền đi tốt hơn.

Siêu âm tim qua thực quản

Siêu âm tim qua thực quản sử dụng đầu dò mỏng hơn gắn vào đầu của ống nội soi. Ống này sẽ được đưa vào thực quản giúp bác sĩ khảo sát tốt hơn các chi tiết của tim từ phía sau.

Phương pháp siêu âm tim này sẽ cung cấp hình ảnh chi tiết hơn về tim so với siêu âm tim truyền thống vì cung cấp hình ảnh chi tiết và rõ nét hơn.

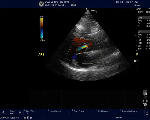
Siêu âm Doppler

Siêu âm Doppler dùng để kiểm tra lưu lượng máu, đo áp lực động mạch phổi . Bác sĩ có thể sử dụng siêu âm doppler màu để lập bản đồ hướng và tốc độ của các dòng máu trong tim.

Thông thường máu chảy về phía đầu dò xuất hiện màu đỏ, máu chảy ra có màu xanh.

Kết quả của siêu âm Doppler có thể kiểm tra, phát hiện một số bệnh tim, mạch máu và đánh giá cung lượng tim.

Siêu âm tim ba chiều

Siêu âm tim ba chiều (3D) là phương pháp tạo ra hình ảnh chi tiết nhất của tim. Phương pháp này góp phần giúp bác sĩ có cách nhìn toàn diện về các bệnh lý:

  • Đánh giá chức năng van tim ở những người bị suy tim
  • Chẩn đoán các vấn đề về tim ở trẻ sơ sinh và trẻ em
  • Kiểm tra các cấu trúc trước phẫu thuật thay thế van tim hoặc phẫu thuật can thiệp
  • Đánh giá chức năng của tim trong 3D.
  • Tái dựng các hình ảnh cấu trúc phức hợp trong tim

Siêu âm tim gắng sức

Phương pháp này sẽ kiểm tra gắng sức bao gồm tập thể dục (thường là đi bộ hoặc chạy bộ trên máy). Trong quá trình kiểm tra, bác sĩ sẽ theo dõi nhịp tim, huyết áp và hoạt động xung điện của tim. Bác sĩ thường thực hiện siêu âm này trước và sau khi tập thể dục. Phương pháp này góp phần chẩn đoán:

  • Bệnh thiếu máu cục bộ cơ tim
  • Bệnh tim mạch vành
  • Suy tim
  • Các vấn đề ảnh hưởng đến van tim

Siêu âm tim thai

Các bác sĩ có thể sử dụng siêu âm thai nhi để xem hoạt động của tim thai. Kỹ thuật này thường diễn ra vào khoảng tuần thai thứ 18-22.

Siêu âm tim thai giúp bác sĩ sớm phát hiện bất thường tại vùng tim của thai nhi

3. Khi nào cần thực hiện siêu âm tim?

Khi bạn có các dấu hiệu bất thường về tim, điển hình như khó thở hay bị đau tức ngực thì việc siêu âm tim là việc rất cần thiết. Khi đó, các bác sĩ sẽ yêu cầu bạn siêu âm tim trong các trường hợp:

  • Phát hiện ra những bất thường từ các xét nghiệm khác hoặc trong khi bác sĩ nghe tim thông qua ống nghe.
  • Phát hiện ra các dấu hiệu về tim như tim đập nhanh và rung trong tim.
  • Phát hiện dị tật trong tim như: tim bẩm sinh,...
  • Phát hiện bệnh về tim như: hở van tim thông qua các triệu chứng khó thở, đau thắt ngực, tiểu đêm nhiều, hay chóng mặt, choáng váng và mất tập trung khi làm việc,...
  • Nghi ngờ người bệnh mắc tăng áp động mạch phổi.
  • Phát hiện người bệnh có người thân bị mắc các bệnh về tim trước đó.

4. Lợi ích từ việc siêu âm tim

Như đã đề cập, thực hiện siêu âm sẽ giúp bác sĩ chẩn đoán chính xác và khách quan bệnh trạng của người được siêu âm. Khi sử dụng máy siêu âm, các bác sĩ có thể thực hiện việc siêu âm tim để quan sát hình ảnh tim của bệnh nhân. Sóng siêu âm từ máy siêu âm cho phép các bác sĩ nhìn thấy tim bệnh nhân đang đập và bơm máu như thế nào.

Thông qua những hình ảnh này, bác sĩ có thể tìm ra nhiều điểm bất thường trong cơ tim và van tim.

Là một phương pháp y học được sử dụng rộng rãi, siêu âm tim giúp kiểm tra các bất thường của tim bao gồm:

  • Hình dáng, kích thước, sự hoạt động, co bóp của tim.
  • Kích thước và quá trình bơm máu của van và cách thành tim.
  • Sức bơm máu của tim và thể tích bơm máu tới các cơ quan khác của cơ thể. Sức bơm này được tính theo từng phút và lấy giá trị trung bình.
  • Kiểm tra nhịp đập của tim.
  • Phát hiện các dấu hiệu bất thường hay những tổn thương của tim như hở van tim, rộng hay hẹp van tim, máu đông bất thường ở tim, các vấn đề về lớp màng ngoài của tim.
  • Phát hiện các khối u bất thường không rõ nguyên nhân, gây chèn ép, đau tức lồng ngực.

 

Hình ảnh sieu âm tim phát hiện bệnh lý hở van 2 lá

 

Siêu âm tim là giải pháp hiệu quả giúp bác sĩ chẩn đoán cũng như dễ dàng phát hiện ra các bệnh lý liên quan đến tim mạch như hở van tim, suy tim, nhồi máu cơ tim, viêm cơ tim,... Việc này giúp người bệnh có thời gian chuẩn bị tâm lý và nhanh chóng điều trị kịp thời giúp đảm bảo chất lượng sức khỏe trước khi xảy ra các tình trạng xấu hơn.

5. Các bước thực hiện siêu âm tim

Trước khi siêu âm

Trước khi đi siêu âm tim, bạn có thể ăn, uống nước và uống thuốc như bình thường nếu bạn chỉ siêu âm tim thông thường. Còn trong các trường hợp bạn bị khó nuốt thì nên thông báo cho bác sĩ được biết vì điều này có thể gây ra những khó khăn trong quá trình siêu âm tim qua thực quản.

Ngoài ra, khi siêu âm tim thông qua thực quản hay siêu âm tim gắng sức thì bác sĩ có thể yêu cầu bạn không ăn gì trong vài giờ để việc siêu âm tim mang lại hiệu quả chính xác nhất.

Trong quá trình siêu âm tim thông qua thực quản, bác sĩ có thể sử dụng tới thuốc an thần nên trước khi đi siêu âm, bạn nên đi cùng với người thân của mình để sự di chuyển được an toàn.

Trong quá trình siêu âm

Bác sĩ sẽ yêu cầu bạn nằm trên giường và kéo áo từ eo lên để bác sĩ dùng các miếng dán là các điện cực vào cơ thể đồng thời sẽ theo dõi điện tim chạy trên màn hình chiếu trực tiếp.

Bác sĩ cũng sẽ dùng một loại gel để bôi lên phần cần siêu âm để tăng khả năng dẫn truyền sóng siêu âm. Lúc này, đầu dò sẽ được di chuyển qua lại trên ngực và ghi hình ảnh siêu âm tim của bạn. Bác sĩ sẽ chụp lại những phần quan trọng nhất trong quá trình siêu âm tim của bạn nếu phát hiện ra có bệnh lý về tim hay sự lưu thông máu đến các cơ tim bị hạn chế.

Nếu siêu âm tim qua thực quản, bạn sẽ được gây tê bằng ống xịt hoặc được chỉ định uống thuốc an thần để việc siêu âm diễn ra dễ dàng hơn.

Sau khi siêu âm tim

Sau khi bạn siêu âm tim xong, nếu không có vấn đề gì xảy ra, bạn có thể nhận kết quả và ra về cũng như có thể tham gia các hoạt động thường ngày.

Còn nếu trường hợp phát hiện ra bệnh lý, bác sĩ sẽ chỉ định cho bạn ở lại điều trị hoặc kê đơn thuốc cho bạn tùy vào tình trạng bệnh của bạn.

Siêu âm tim là một phương pháp ưu việt trong y học, giúp các bệnh nhân sớm phát hiện bệnh và chữa trị bệnh một cách hiệu quả. Vì thế, bệnh nhân cần chú ý để thực hiện việc siêu âm tim đều đặn. Quá trình siêu âm tim cũng không có gì phức tạp nên các bệnh nhân có thể yên tâm đi khám định kỳ.

Định kỳ kiểm tra sức khỏe tim mạch giúp người bệnh được điều trị kịp thời

Hiện nay kết quả siêu âm tim làm bởi bác sĩ tim mạch có kinh nghiệm lâm sàng thì cho nhiều thông tin để chẩn đoán và theo dõi hơn bác sĩ chẩn đoán hình ảnh chung ở các trung tâm chẩn đoán hình ảnh. Phòng khám tim mạch BS Phạm Xuân Hậu tổng quát về siêu âm doppler tim màu đến với bạn đọc.

Để kiểm tra tim mạch của mình, đừng ngần ngại đặt lịch hẹn với BS Phạm Xuân Hậu

Đặt lịch online

Người khác cùng quan tâm

Thông tin liên hệ

Hotline - 0938 237 460

336A Phan Văn Trị, Phường 11, Bình Thạnh, TPHCM

Mới: 336A Phan Văn Trị, Bình Lợi Trung, TPHCM

Giờ làm việc

Thứ 2 - 7:
Chiều: 17:00 - 19:30
Chủ nhật, Ngày lễ nghỉ

Phụ trách chuyên môn: BSCKII Phạm Xuân Hậu. GPHĐ: 06075/HCM-GPHĐ ngày 07/9/2018 do Sở y tế TP HCM cấp

© 2026 Phòng khám Tim mạch Siêu âm OCA. Powered by Medcomis & JoomShaper
📞 Gọi Ngay 📅 Đặt Hẹn 💬 Zalo