Tin tức

Điều trị suy hô hấp cấp nặng ở người lớn bằng ECMO

Bài viết cung cấp thông tin tổng quan về suy hô hấp cấp, bao gồm định nghĩa, nguyên nhân, triệu chứng (khó thở, tím tái, rối loạn nhịp tim, thần kinh, ý thức), chẩn đoán (X-quang, khí máu), và các phương pháp điều trị (dẫn lưu, khai thông đường thở, cân bằng dịch, thuốc, ECMO). ECMO là kỹ thuật hỗ trợ tim phổi cho bệnh nhân suy hô hấp nặng.

Suy hô hấp cấp: Tổng quan, triệu chứng, chẩn đoán và điều trị

1. Suy hô hấp cấp là gì?

Suy hô hấp cấp là tình trạng phổi đột ngột mất khả năng thực hiện chức năng trao đổi khí, dẫn đến thiếu oxy trong máu, có thể kèm theo hoặc không kèm theo tăng CO2 trong máu. Mức độ thiếu oxy máu có thể khác nhau tùy thuộc vào từng trường hợp, và tình trạng này có thể trở nên nghiêm trọng hơn khi có sự kết hợp của tăng CO2 máu, đặc biệt là trong hội chứng nguy ngập hô hấp cấp ở người lớn (ARDS).

Nguy cơ mắc suy hô hấp cấp tăng lên đáng kể ở những người có các bệnh lý như viêm phổi, nhiễm trùng huyết, hít phải dịch dạ dày hoặc gặp phải các chấn thương nghiêm trọng. Suy hô hấp nặng ở người lớn thường đi kèm với phù phổi tăng tính thấm, thiếu oxy máu động mạch nghiêm trọng và giảm khả năng thải loại carbon dioxide. Các phương pháp điều trị bao gồm thông khí cơ học, truyền dịch, phòng ngừa huyết khối tĩnh mạch, đặc biệt là thông khí bảo vệ phổi với thể tích khí lưu thông thấp, và trong những trường hợp nặng, kỹ thuật ECMO (oxy hóa máu bằng màng ngoài cơ thể) có thể được sử dụng. Hiện tại, việc điều trị bằng thuốc vẫn chưa mang lại hiệu quả rõ rệt trong nhiều trường hợp.

2. Triệu chứng của suy hô hấp cấp

Khó thở là một trong những triệu chứng phổ biến nhất của suy hô hấp cấp:

  • Khó thở: Tình trạng thiếu oxy trong máu, dù có hay không kèm theo tăng PaCO2 (áp suất riêng phần của CO2 trong máu động mạch), đều có thể gây ra khó thở. Nhịp thở có thể tăng lên trên 25 nhịp/phút, gây ra tình trạng co kéo các cơ hô hấp, hoặc có thể giảm xuống dưới 12 nhịp/phút, thường đi kèm với liệt cơ hô hấp. Trong trường hợp nhịp thở chậm, việc chỉ định thở máy là cần thiết ngay lập tức vì nhịp thở có thể chậm dần và dẫn đến các biến chứng nghiêm trọng.
  • Da nhợt, tím tái: Tình trạng tím tái thường xuất hiện ở môi và đầu các chi khi nồng độ Hb khử (hemoglobin không gắn oxy) vượt quá 5g/100ml, hoặc khi độ bão hòa oxy (SaO2) dưới 85%. Trong một số trường hợp, da có thể chuyển sang màu ửng đỏ và kèm theo vã mồ hôi khi PaCO2 tăng cao, thường thấy trong các đợt cấp của viêm phế quản mạn tính.
  • Rối loạn nhịp tim: Người bệnh có thể gặp phải các rối loạn nhịp tim như nhịp nhanh xoang, các cơn nhịp nhanh (rung nhĩ, flutter), hoặc thậm chí rung thất, một biểu hiện nguy hiểm có thể dẫn đến tử vong. Nguy hiểm nhất là khi thiếu oxy nghiêm trọng hoặc PaCO2 quá thấp, có thể gây ngừng tim nếu không được can thiệp kịp thời trong vòng 5 phút.
  • Huyết áp tăng hoặc giảm: Trong giai đoạn đầu của suy hô hấp cấp, huyết áp thường có xu hướng tăng cao. Tuy nhiên, ở giai đoạn sau, huyết áp có thể giảm dần. Trong cả hai trường hợp, việc can thiệp ngay lập tức bằng các biện pháp như bóp bóng, đặt ống nội khí quản, hút đờm và thở máy là rất quan trọng.
  • Rối loạn thần kinh và ý thức: Do não tiêu thụ một lượng lớn oxy (khoảng 1/5 tổng lượng oxy của cơ thể), nó là cơ quan chịu ảnh hưởng sớm nhất từ tình trạng thiếu oxy và tăng CO2 trong máu. Bệnh nhân có thể trải qua các rối loạn thần kinh với các biểu hiện như giãy dụa, lẫn lộn và mất phản xạ gân xương. Ngoài ra, rối loạn ý thức như li bì hoặc hôn mê cũng có thể xảy ra.
  • Các vấn đề về phổi: Khi nghe phổi, có thể phát hiện nhiều ran ẩm. Trong một số trường hợp, có thể có xẹp phổi hoặc liệt hô hấp (liệt cơ gian sườn, liệt cơ hoành). Tràn dịch màng phổi có thể xảy ra ở bệnh nhân thở máy hoặc sau khi đặt catheter tĩnh mạch dưới đòn. Viêm phế quản phổi cũng có thể xuất hiện ở vùng sau của phổi.

3. Chẩn đoán suy hô hấp cấp

Chẩn đoán suy hô hấp cấp cần dựa trên nhiều yếu tố khác nhau, bao gồm:

  • Khó thở, tím môi và các đầu chi.
  • Đáp ứng kém với liệu pháp cung cấp oxy.
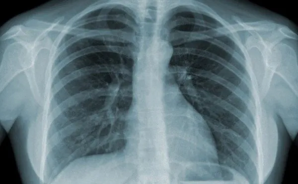
  • X-quang ngực: Phim chụp X-quang có thể cho thấy hình ảnh tổn thương phế nang lan tỏa ở cả hai bên phổi, có xu hướng tiến triển nặng dần.
  • Khí máu động mạch: Xét nghiệm khí máu cho thấy oxy máu giảm (PaO2 giảm), và tỷ lệ PaO2/FiO2 (tỷ lệ giữa áp suất riêng phần oxy trong máu động mạch và phần trăm oxy trong khí hít vào) ≤ 300 mmHg với PEEP (áp lực dương cuối thì thở ra) ≥ 5 cmH2O.

Do các triệu chứng của suy hô hấp cấp có nhiều điểm tương đồng với một số bệnh lý khác, việc chẩn đoán phân biệt là rất quan trọng. Các bệnh lý cần được xem xét bao gồm phù phổi cấp, hẹp động mạch thận, chấn thương đầu, tắc nghẽn tĩnh mạch phổi, viêm mạch máu phổi và viêm phổi cấp.

4. Điều trị suy hô hấp cấp ở người lớn

Dẫn lưu màng phổi

Dẫn lưu màng phổi được chỉ định trong các trường hợp tràn khí màng phổi, tràn khí trung thất, tràn máu hoặc tràn dịch màng phổi. Trong một số trường hợp nghiêm trọng như vỡ hoặc rách phế quản, bệnh nhân có thể cần can thiệp phẫu thuật và đặt ống Carlens hoặc nội khí quản. Dẫn lưu màng phổi cũng có thể được chỉ định dự phòng ở những bệnh nhân bị gãy nhiều xương sườn hoặc bị mảng sườn di động trước khi được gây mê nội khí quản hoặc thở máy. Ống dẫn lưu thường được rút ra trong vòng 48 - 72 giờ sau khi hết khí hoặc dịch.

Khai thông đường thở

Khai thông đường dẫn khí là bước đầu tiên và quan trọng nhất trong việc điều trị bệnh nhân suy hô hấp cấp. Tùy thuộc vào nguyên nhân và mức độ khó thở, có thể áp dụng các thủ thuật sau:

  • Móc, hút sạch đất, cát, bùn, thức ăn, máu và các chất tiết khác từ miệng, mũi và họng, sau đó lau sạch.
  • Nâng hàm, đặt canuyn Mayo để nâng lưỡi, đặt đầu bệnh nhân ngửa ra sau hoặc kéo lưỡi ra ngoài để ngăn ngừa tụt lưỡi.
  • Luồn dây polyten qua màng giáp nhẫn: Biện pháp này được áp dụng cho những bệnh nhân bị tắc đờm rãi nhiều mà việc hút thông thường không hiệu quả. Thủ thuật này tương đối đơn giản và thường giúp thông thoáng phổi sau 24 - 48 giờ, sau đó dây có thể được rút bỏ.
  • Hút đờm rãi, máu mủ trong khí - phế quản bằng cách hút mò, hút có đèn soi hoặc sử dụng đèn soi thanh quản để nâng nắp thanh quản, làm lộ thanh quản, sau đó đưa ống hút vào sâu trong khí phế quản để hút. Ngoài ra, có thể sử dụng ống soi khí - phế quản để hút (bronchoscopie aspiration).
  • Đặt nội khí quản hoặc mở khí quản.

Cân bằng nước và dịch trong cơ thể

Giảm áp lực đổ đầy tâm nhĩ trái bằng cách hạn chế dịch và sử dụng thuốc lợi tiểu là một phần quan trọng trong điều trị ARDS. Duy trì áp lực đổ đầy tâm nhĩ trái ở mức bình thường hoặc thấp giúp giảm thiểu phù phổi, ngăn ngừa giảm oxy hóa máu động mạch và cải thiện độ đàn hồi của phổi, rút ngắn thời gian thở máy và nằm viện, đồng thời giảm tỷ lệ tử vong ở bệnh nhân hồi sức tích cực và ngoại khoa. Tuy nhiên, cần đặc biệt chú ý ở những bệnh nhân có huyết động không ổn định hoặc giảm tưới máu các cơ quan quan trọng như thận.

Thuốc

  • Corticoid: Corticosteroid có tác dụng giảm tình trạng viêm tại phổi. Tuy nhiên, việc sử dụng thuốc này cần thận trọng và không nên dùng với liều cao. Trong một số tình huống cụ thể, corticosteroid có thể được sử dụng một cách thận trọng khi nguyên nhân cơ bản của bệnh đáp ứng với điều trị corticosteroid, ví dụ như trong trường hợp viêm phổi tổ chức hóa vô căn.
  • Kháng sinh: Được sử dụng khi có dấu hiệu nhiễm trùng.
  • Lợi tiểu: Được sử dụng trong trường hợp suy tim ứ huyết, phù phổi cấp huyết động hoặc quá tải thể tích.
  • Thay huyết tương: Được sử dụng để loại bỏ kháng thể trong các bệnh tự miễn gây liệt cơ hô hấp, chẳng hạn như bệnh nhược cơ hoặc hội chứng Guillain – Barre.

5. Điều trị suy hô hấp nặng ở người lớn bằng ECMO

Hệ thống ECMO có khả năng thay thế chức năng của tim và phổi. Bệnh nhân cần hỗ trợ từ máy ECMO thường được chăm sóc đặc biệt tại các đơn vị hồi sức tích cực (ICU) của bệnh viện. Thời gian sử dụng ECMO có thể kéo dài từ vài giờ đến vài ngày, hoặc thậm chí vài tuần, tùy thuộc vào diễn tiến của bệnh. ECMO được chỉ định trong các trường hợp:

  • Phổi không thể cung cấp đủ oxy (O2) cho cơ thể, ngay cả khi đã được hỗ trợ thở oxy.
  • Phổi không thể loại bỏ đủ carbon dioxide (CO2), ngay cả khi có sự hỗ trợ từ máy thở.
  • Tim không thể bơm đủ máu để đáp ứng nhu cầu của cơ thể.

Nhìn chung, ECMO ở người lớn được chỉ định cho các bệnh nhân có suy hô hấp cấp hoặc suy tuần hoàn cấp đe dọa tính mạng và có khả năng hồi phục, nhưng không đáp ứng với các phương pháp điều trị thông thường. Việc triển khai kỹ thuật ECMO cần tuân thủ đúng các chỉ định và chống chỉ định.

Máy ECMO được kết nối với bệnh nhân thông qua các ống nhựa (ống cannula) được đặt vào các động mạch hoặc tĩnh mạch lớn ở chân, cổ hoặc ngực. Máy ECMO sẽ bơm máu từ cơ thể bệnh nhân đến một phổi nhân tạo (oxygenator) để bổ sung oxy và loại bỏ CO2, sau đó đưa máu trở lại cơ thể. Nhờ đó, ECMO có thể tạm thời thay thế chức năng của tim và phổi.

Trước khi thực hiện thủ thuật, bác sĩ sẽ chỉ định xét nghiệm khí máu và sử dụng thuốc chống đông máu, cũng như một số loại thuốc an thần hoặc gây mê.

Sau khi đặt máy ECMO, một số biến chứng có thể xảy ra, bao gồm xuất huyết do tác dụng của thuốc chống đông máu, suy thận do máu không được cung cấp đầy đủ đến thận, nhiễm trùng do điều trị kéo dài và hệ thống máy tiếp xúc trực tiếp với cơ thể, tổn thương chân do hệ thống được kết nối với cơ thể thông qua động mạch đùi, và đột quỵ não do máu không cung cấp đủ cho não hoặc do hình thành cục máu đông.

Kỹ thuật ECMO đang được áp dụng thành công trong việc điều trị các trường hợp suy tuần hoàn và suy hô hấp cấp tại nhiều bệnh viện. Đây là một kỹ thuật y khoa phức tạp, đòi hỏi đội ngũ bác sĩ và kỹ thuật viên có trình độ chuyên môn cao.

Bên cạnh đó, các bệnh viện cũng đầu tư vào các trang thiết bị máy móc hiện đại để hỗ trợ bác sĩ trong quá trình phẫu thuật và hồi sức cho bệnh nhân, chẳng hạn như hệ thống tim phổi nhân tạo HR20 của Maquet và máy thở R860 của GE.

Chủ đề gợi ý cho bạn

Người khác cùng quan tâm

Thông tin liên hệ

Hotline - 0938 237 460

336A Phan Văn Trị, Phường 11, Bình Thạnh, TPHCM

Mới: 336A Phan Văn Trị, Bình Lợi Trung, TPHCM

Giờ làm việc

Thứ 2 - 7:
Chiều: 17:00 - 19:30
Chủ nhật, Ngày lễ nghỉ

Phụ trách chuyên môn: BSCKII Phạm Xuân Hậu. GPHĐ: 06075/HCM-GPHĐ ngày 07/9/2018 do Sở y tế TP HCM cấp

© 2026 Phòng khám Tim mạch Siêu âm OCA. Powered by Medcomis & JoomShaper
📞 Gọi Ngay 📅 Đặt Hẹn 💬 Zalo