Tin tức

Rượu gây ngộ độc trực tiếp lên tim

Bài viết cung cấp thông tin về ngộ độc rượu, bao gồm các loại ngộ độc, tiến trình và tác hại của việc lạm dụng rượu. Đặc biệt nhấn mạnh ảnh hưởng của rượu đến tim và các biện pháp điều trị, phòng ngừa biến chứng. Bài viết cũng đưa ra lời khuyên về việc kiểm soát lượng rượu tiêu thụ và những đối tượng nên tránh xa rượu.

Tìm hiểu phương pháp phá vách liên nhĩ, điều trị tim bẩm sinh

Phá vách liên nhĩ là thủ thuật tim mạch can thiệp tạo hoặc mở rộng lỗ thông giữa hai tâm nhĩ, giúp cải thiện lưu lượng máu và oxy. Chỉ định cho đảo gốc động mạch, bất thường tĩnh mạch phổi, hẹp van động mạch phổi... Chống chỉ định khi rối loạn đông máu nặng. Gồm các phương pháp: lỗ thứ nhất, lỗ thứ hai, xoang tĩnh mạch, xoang vành. Biến chứng có thể gặp: chảy máu, rối loạn nhịp tim, tăng áp động mạch phổi.

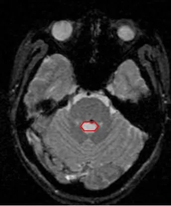
U máu thể hang: Một dị dạng mạch não

U máu thể hang là một dị dạng mạch máu ở não hoặc tủy sống, bao gồm các khoang nhỏ chứa máu. Bệnh có thể gây động kinh, rối loạn thần kinh, tăng áp lực nội sọ và xuất huyết. Chẩn đoán bằng MRI, điều trị bằng phẫu thuật hoặc xạ phẫu dao gamma. Xạ phẫu dao gamma quay là phương pháp ít xâm lấn và hiệu quả để giảm thiểu biến chứng.

Mục đích kích thích tim với tần số cao ở trẻ em

Kích thích tim tần số cao là biện pháp cấp cứu để cắt cơn loạn nhịp nhanh ở trẻ em khi các phương pháp khác không hiệu quả. Quy trình bao gồm chuẩn bị nhân sự, thiết bị, bệnh nhi; kiểm tra tình trạng bệnh nhi; tiến hành kích thích tim bằng máy tạo nhịp; và theo dõi sát sau kích thích. Chống chỉ định với nhịp nhanh thất, rung thất, vô tâm thu.

Đánh giá chức năng và xét nghiệm độ tập trung tiểu cầu

Tìm hiểu về tiểu cầu, thành phần quan trọng của máu, và vai trò của xét nghiệm độ tập trung tiểu cầu trong việc đánh giá chức năng đông máu. Bài viết giải thích quy trình xét nghiệm, cách phân tích kết quả, và các nguyên nhân gây tăng hoặc giảm ngưng tập tiểu cầu, giúp bạn hiểu rõ hơn về sức khỏe của mình.

Quan hệ tình dục an toàn khi bị bệnh tim

Bài viết cung cấp thông tin về mối liên hệ giữa bệnh tim và hoạt động tình dục. Ảnh hưởng của quan hệ tình dục lên bệnh tim và ngược lại. Hướng dẫn quan hệ tình dục an toàn cho người bệnh tim mạch, bao gồm thời gian phục hồi, tập thể dục, kiểm soát cảm xúc, sử dụng thuốc và thăm khám định kỳ.

Các dạng hẹp động mạch thận

Hẹp động mạch thận là tình trạng hẹp lòng động mạch thận, làm giảm lưu lượng máu đến thận. Nguyên nhân chủ yếu do xơ vữa động mạch hoặc loạn sản cơ xơ. Bệnh có thể dẫn đến tăng huyết áp, bệnh thận do thiếu máu cục bộ và các vấn đề tim mạch. Phát hiện sớm và điều trị kịp thời rất quan trọng để bảo vệ chức năng thận và cải thiện tiên lượng.

Cách phòng ngừa bệnh thấp tim ở trẻ em

Bệnh thấp tim là một bệnh lý nguy hiểm ở trẻ em, gây tổn thương tim, khớp, não và da do nhiễm khuẩn liên cầu. Các dấu hiệu bao gồm sốt, đau khớp, khó thở, và các vấn đề thần kinh. Phòng ngừa bằng cách điều trị triệt để nhiễm trùng liên cầu, giữ vệ sinh, và tiêm phòng đầy đủ. Điều trị dự phòng kháng sinh và tái khám định kỳ là rất quan trọng đối với trẻ đã mắc bệnh.

Peptide lợi niệu trong điều trị bệnh tim

Bài viết giải thích về peptide lợi niệu (BNP), một protein quan trọng trong chẩn đoán suy tim. BNP tăng khi tim bị quá tải, giúp phân biệt khó thở do tim hay phổi và theo dõi hiệu quả điều trị suy tim. Xét nghiệm BNP/NT-proBNP còn được dùng để đánh giá nguy cơ và tiên lượng bệnh tim, tuy nhiên, kết quả có thể bị ảnh hưởng bởi suy thận, bệnh phổi hoặc BMI.

Ưu và nhược điểm của điện tâm đồ gắng sức

Điện tâm đồ gắng sức là phương pháp không xâm lấn, giúp chẩn đoán bệnh mạch vành và rối loạn nhịp tim bằng cách theo dõi điện tim khi vận động. Phương pháp này có ưu điểm là dễ thực hiện, chi phí thấp, nhưng cũng có một số hạn chế như không phù hợp với bệnh mạch vành cấp và cần kết hợp với các phương pháp khác để tăng độ chính xác.

Thông tin liên hệ

Hotline - 0938 237 460

336A Phan Văn Trị, Phường 11, Bình Thạnh, TPHCM

Mới: 336A Phan Văn Trị, Bình Lợi Trung, TPHCM

Giờ làm việc

Thứ 2 - 7:
Chiều: 17:00 - 19:30
Chủ nhật, Ngày lễ nghỉ

Phụ trách chuyên môn: BSCKII Phạm Xuân Hậu. GPHĐ: 06075/HCM-GPHĐ ngày 07/9/2018 do Sở y tế TP HCM cấp

© 2026 Phòng khám Tim mạch Siêu âm OCA. Powered by Medcomis & JoomShaper
📞 Gọi Ngay 📅 Đặt Hẹn 💬 Zalo