Hotline - 0938 237 460
336A Phan Văn Trị, Phường 11, Bình Thạnh, TPHCM
Mới: 336A Phan Văn Trị, Bình Lợi Trung, TPHCM
Tìm kiếm địa chỉ khám tim mạch uy tín tại TP.HCM? Phòng khám Tim mạch BS Phạm Xuân Hậu với đội ngũ bác sĩ chuyên môn cao, trang thiết bị hiện đại, cung cấp dịch vụ khám và điều trị toàn diện các...
Hướng dẫn chi tiết kinh nghiệm đi khám tim mạch tại TP.HCM, bao gồm thủ tục khám BHYT, khám dịch vụ tại Viện Tim TP.HCM và giới thiệu Phòng khám Tim mạch BS Phạm Xuân Hậu với các dịch vụ khám, siêu...
Hướng dẫn kinh nghiệm khám tim mạch tại TP.HCM, bao gồm chuẩn bị trước khi khám, quy trình khám tại Viện Tim TP.HCM và giới thiệu Phòng khám Tim mạch BS Phạm Xuân Hậu.
Viêm màng ngoài tim là tình trạng viêm lớp màng bao quanh tim, gây đau ngực, khó thở và mệt mỏi. Bệnh có thể do nhiễm trùng, bệnh tự miễn, chấn thương hoặc không rõ nguyên nhân. Chẩn đoán bằng điện...
Chèn ép tim cấp là tình trạng nguy hiểm do dịch hoặc máu tích tụ trong màng ngoài tim, gây áp lực lên tim. Nguyên nhân gồm chấn thương, nhiễm khuẩn, khối u, bệnh hệ thống... Chẩn đoán dựa vào tam...
Bài viết giải thích lý do các phòng khám tim mạch ở TP.HCM được nhiều người biết đến, tập trung vào đội ngũ bác sĩ chuyên môn cao, trang thiết bị hiện đại và cơ sở vật chất tốt. Phòng khám Tim mạch...
Rối loạn nhịp tim có thể dẫn đến ngừng tim đột ngột, một biến chứng nguy hiểm. Phát hiện sớm thông qua khám tim mạch định kỳ (siêu âm tim, điện tâm đồ) là rất quan trọng. Các yếu tố nguy cơ bao gồm...
Siêu âm Doppler là kỹ thuật quan trọng để đánh giá tim mạch và mạch máu. Bài viết trình bày chi tiết về nguyên lý, các loại siêu âm Doppler (PW, CW) và các trường hợp cần thiết như bệnh lý tim, mạch...
Phòng khám Tim mạch BS Phạm Xuân Hậu cung cấp dịch vụ siêu âm tim và chẩn đoán bệnh tim mạch uy tín. Đội ngũ bác sĩ chuyên môn cao, trang thiết bị hiện đại, dịch vụ đa dạng như khám tim, siêu âm...
Siêu âm tim cản âm là phương pháp chẩn đoán tim mạch hiện đại, kết hợp siêu âm tim với chất cản quang để tăng cường khả năng phát hiện các bất thường tim mạch. Kỹ thuật này có nhiều ứng dụng quan...
Bài viết cung cấp thông tin tổng quan về siêu âm tim cơ bản, bao gồm khái niệm, vai trò, các mặt cắt cơ bản, quy trình thực hiện, chỉ định và những điều cần lưu ý sau khi siêu âm. Siêu âm tim là...
Siêu âm tim Doppler không chỉ là một kỹ thuật chẩn đoán đơn thuần, mà còn là một phần quan trọng trong việc phát hiện và quản lý các bệnh lý tim mạch. Bệnh tim mạch, hiện nay đã trở thành nguyên...
Bài viết cung cấp thông tin về quy trình siêu âm tim, cách đọc và hiểu kết quả, đặc biệt là khi kết quả bất thường. Ngoài ra, bài viết nhấn mạnh vai trò quan trọng của siêu âm tim trong việc đánh...
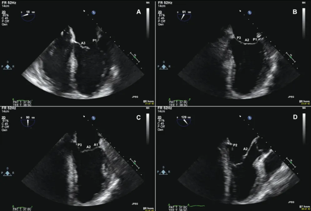
Siêu âm tim qua thực quản là kỹ thuật chẩn đoán hình ảnh, đưa đầu dò siêu âm qua miệng vào thực quản để quan sát tim. Có thể gây khó chịu nhẹ và đau họng sau đó. Thường được chỉ định khi siêu âm tim...
Siêu âm tim là phương pháp chẩn đoán hình ảnh tim mạch an toàn, sử dụng sóng siêu âm để ghi lại hình ảnh tim. Quy trình thực hiện nhanh chóng, không gây đau đớn và có thể thực hiện nhiều lần mà...
Tứ chứng Fallot là bệnh tim bẩm sinh nguy hiểm với 4 đặc điểm chính: hẹp đường ra động mạch phổi, thông liên thất, động mạch chủ cưỡi ngựa và phì đại thất phải. Siêu âm tim đóng vai trò quan trọng...
Siêu âm tim là phương pháp chẩn đoán hình ảnh tim mạch bằng sóng siêu âm, giúp bác sĩ đánh giá chức năng tim, phát hiện bệnh van tim, dị tật bẩm sinh. Phòng khám Tim mạch BS Phạm Xuân Hậu với đội...
Siêu âm tim là phương pháp chẩn đoán quan trọng giúp phát hiện sớm bệnh mạch vành. Bài viết này trình bày vai trò của siêu âm tim trong việc đánh giá mức độ tổn thương, xác định thành phần mảng xơ...
Siêu âm tim là công cụ hiệu quả trong việc chẩn đoán và theo dõi các vấn đề tim mạch, giúp phát hiện sớm bệnh lý và nâng cao sức khỏe của bạn. Hãy cùng tìm hiểu về siêu âm tim và tầm quan trọng của...
Siêu âm tim đang ngày càng trở thành công cụ không thể thiếu trong việc bảo vệ sức khỏe tim mạch. Hãy cùng tìm hiểu kỹ thuật này và lý do tại sao bạn nên thực hiện kiểm tra định kỳ.
336A Phan Văn Trị, Phường 11, Bình Thạnh, TPHCM
Mới: 336A Phan Văn Trị, Bình Lợi Trung, TPHCM
Thứ 2 - 7:
Chiều: 17:00 - 19:30
Chủ nhật, Ngày lễ nghỉ